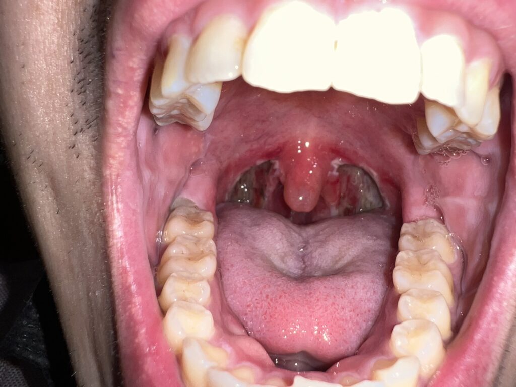
11月17日(手術前)
手術前夜に記念にとパシャリ。中学校2年生の時から共に過ごしてきたポリープちゃんの見納めです。さようなら。

11月18日(手術当日)
扁桃腺とポリープちゃんとさよならしました。痰がきれないので口内が粘っこいのですが悪しからず。

11月19日(手術翌日)

舌の奥で感じられるガサガサ感…これがカサブタなのかなと。未だに痰がエンドレス過ぎて座って寝てます( •᷄ὤ•᷅)
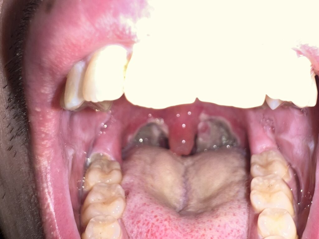
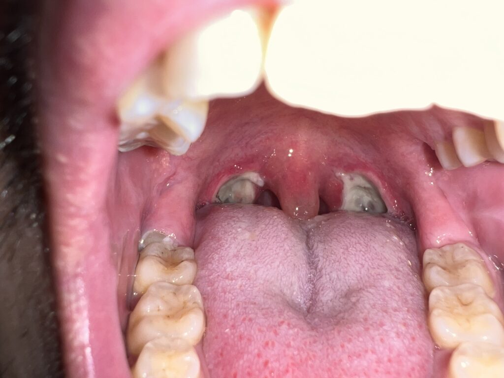
11月20日

手術箇所がどんどん白くなってカサブタが多くなって来てますねぇ
11月21日

もう僕的にはグロさしかないんですけども。早く完治してくれ〜。気持ち11月中にはって思いますけど、無理そうですね。
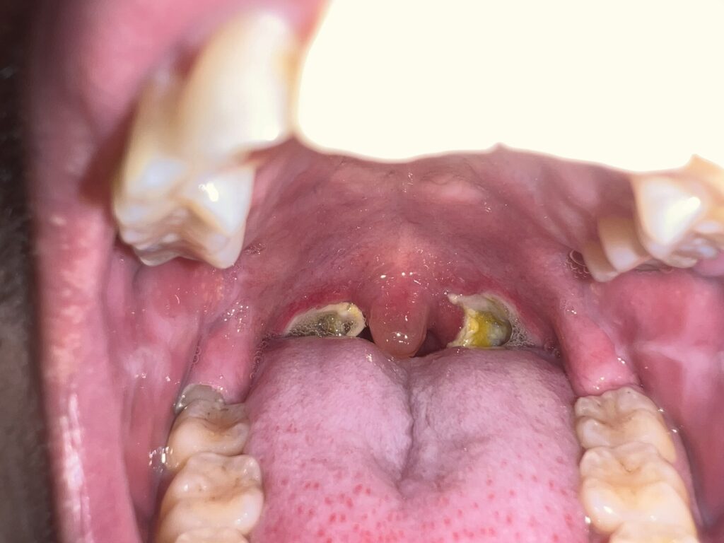
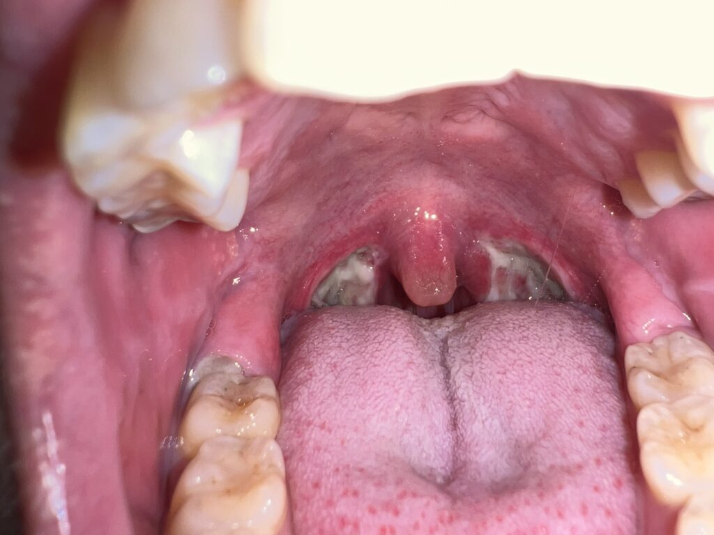
11月21日

なにか黄色くなってますね。治ってきてる証拠なのでしょうか?早く普通食が食べたいです…
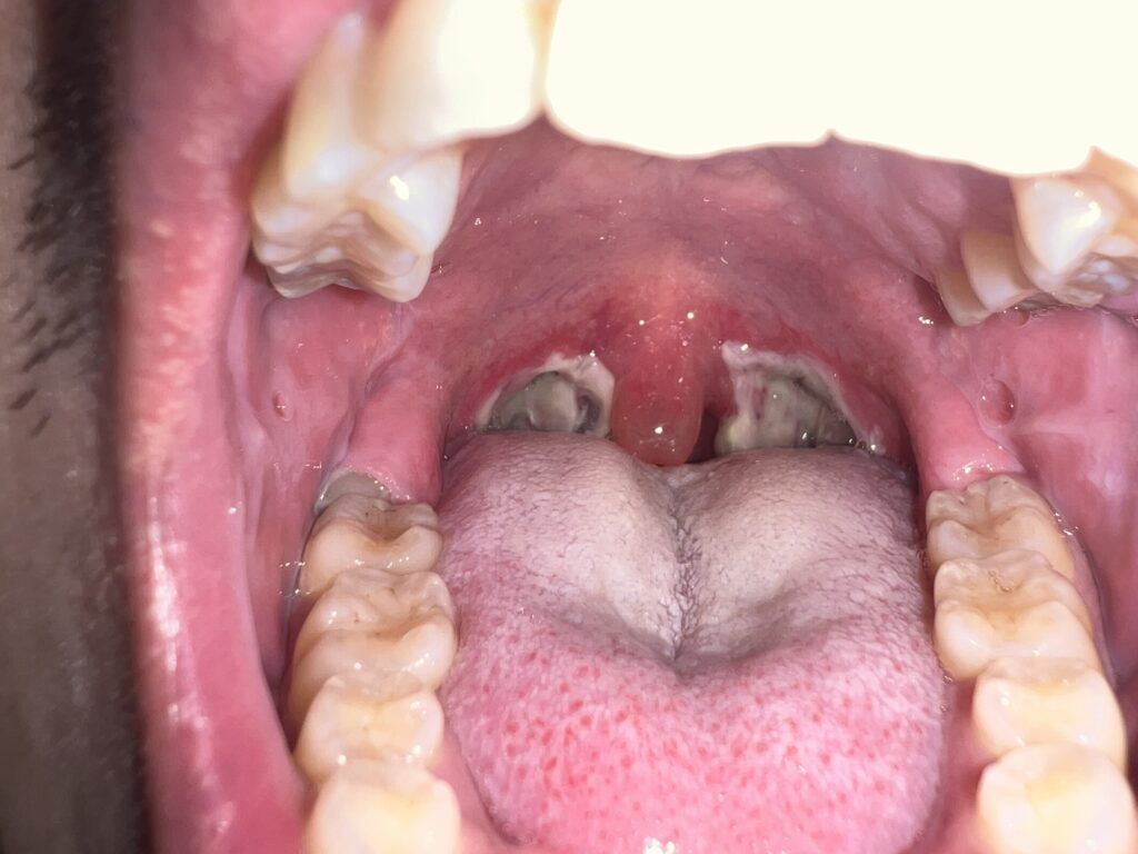
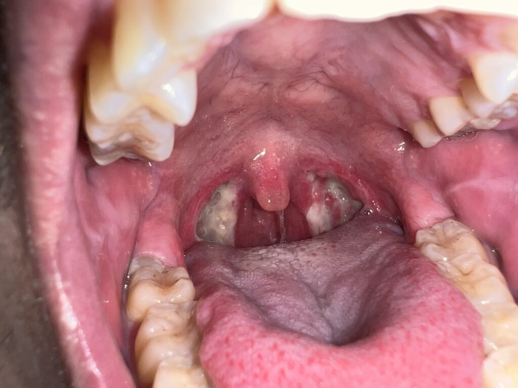
11月22日(退院日)

この白いものがポロポロ取れたら完治のようです。
11月23日

若干白い範囲が小さくなっているようないないような…
11月25日

違いが分かりませんな…夜中咳で起きます。咳は夜中だけ…薬が切れたのか激痛です。
11月26日

入院してる時は基本寝ていたので感じなかった眠気で出るあくびがめちゃくちゃ痛いことに気付いた今日この頃。
11月27日

なんか治ってる感ありますけど、全然痛いです笑
11月29日(再入院)

ただ家でパソコンしてただけなのに何故か白いところが一気に剥がれて。夜中の2時にハートライフ病院に電話して救急へ。そのまま緊急入院。緊急入院の様子はこちらから。
11月30日

白い膜がまた出来てきてました。(かさぶた?)
12月1日

12月2日(退院)

この白いのが全部剥がれ落ちて傷も治れば完璧と。術後4週間で完治とされるらしく12月16日までは一応気をつけてくださいとのことでした。
12月3日

12月4日

12月5日

11月6日

ほぼ完治では?!
ともよせかなとの忘備録 
